¿Sufres bruxismo? Con la Técnica 3-Step restauramos los dientes erosionados
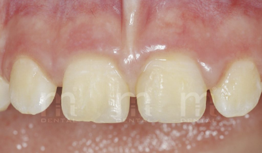
Si padeces de bruxismo, seguro que ya sabes de qué se trata. Un hábito involuntario que por desgracia afecta a […]
Si padeces de bruxismo, seguro que ya sabes de qué se trata. Un hábito involuntario que por desgracia afecta a […]
Los Traumatismo dental en niños son muy frecuentes. Sobre todo, durante los primeros años de vida, pueden ocurrir en cualquier
Para tratarse de algo que ocurre tanto, la Hipomineralización molar-incisiva (MIH), es muy poco conocida. El dato: 1 de cada
Pgatón formación está formado por un equipo de profesionales de la Odontogía dedicados a la difusión y práctica de la
La Ortodoncia Interceptiva es la que previene el proceso de crecimiento de la estructura maxilofacial, la oclusión y los problemas
La Ortodoncia Interceptiva “intercepta” el proceso de crecimiento de la estructura maxilofacial del niño y trata de adelantarse a los
¿Qué es el Método Bioclear? El Método Bioclear es el modo de solucionar los espacios negros en la odontología estética
Muchas personas piensan que basta con cepillarse los dientes tres veces al día para gozar de una excelente salud bucodental,
Cuando se termina el grado, o mientras estudias odontología, siempre te planteas hacia dónde debes ir. La odontopediatría, es una
El miedo al dentista es uno de los motivos que lleva a las personas a evitar las consultas dentales, posponer
La Mínima intervención o Mínima invasión se ha afianzado como una forma de ver la odontología de calidad, teniendo como
La Odontopediatría es una de las disciplinas que no ha parado de evolucionar. Una formación actual y adecuada te permitirá
La salud bucodental es primordial para mantener nuestro organismo sano, por eso, no estaría de más saber que existe la
Con la llegada de la primavera y el aumento de las temperaturas, cada vez apetecen más determinadas bebidas refrescantes que,
Las caries son uno de los problemas bucales más frecuentes en la sociedad. Una dolencia que afecta a los tejidos